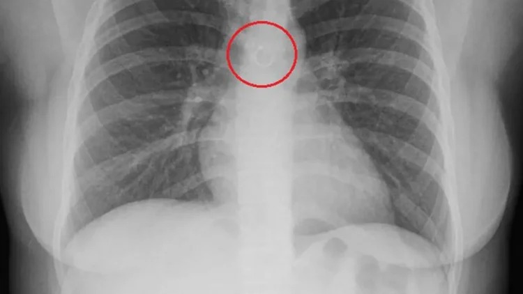
MEXICO CITY: Seorang wanita warga Mexico berusia 26 tahun terkejut besar selepas mendapati batuk berlarutan yang dialaminya berpunca daripada sebentuk subang hidung yang tersangkut di dalam paru-paru. Monica Deyanira Cabrera Barajas mula mengalami masalah batuk berlarutan selama kira-kira sebulan sebelum memutuskan untuk mendapatkan rawatan doktor. Walaupun menjangkakan keputusan pemeriksaan sinar-X (X-ray) akan mendedahkan masalah kesihatan, dia sama sekali tidak menyangka akan menemukan perhiasan hidung miliknya di dalam organ tersebut. Menerusi…










